元神院長執筆 包茎・薄毛専門医が真剣に答えるブログ 男の悩みに 答えるブログ 元神院長執筆 包茎・薄毛専門医が真剣に答えるブログ 男の悩みに 答えるブログ

亀頭・陰茎のブツブツ:光沢苔癬は性病ではない

更新日:2025/03/04

公開日:2025/03/04

光沢苔癬

多くの男性が、陰茎や亀頭に現れる皮膚の異常に対して強い不安を抱きがちです。特に、亀頭や陰茎に発生する小さなブツブツは、性感染症の一種である尖圭コンジローマと誤解されることが少なくありません。この誤解は、不要なストレスを生むだけでなく、パートナーとの関係にも影響を及ぼし、深刻な悩みへと発展することがあります。しかし、陰茎や亀頭に生じるブツブツには多種多様な原因があり、そのすべてが性病というわけではありません。実際に、尖圭コンジローマと見た目が非常によく似ているものの、まったく性病とは無関係な皮膚疾患も存在します。本記事では、その代表例である光沢苔癬(lichen nitidus)について詳しく解説し、正しい理解と適切な対応をお伝えします。

突然亀頭に現れたブツブツ:正体とは?

亀頭に突然ブツブツが出現すると、多くの男性は驚きとともに不安を抱えます。医師でさえ、その第一印象から尖圭コンジローマ(性病の一種)を疑うことが少なくありません。しかし、亀頭に現れるブツブツがすべて尖圭コンジローマであるとは限りません。この誤解を正すことが非常に重要です。

実際、多くの男性が亀頭にできたブツブツを指摘され、すぐに尖圭コンジローマと診断されることがあります。その結果、レーザー治療を受けたり、ベセルナクリーム(尖圭コンジローマの治療薬)を塗布したりするケースも珍しくありません。しかし、もしこのブツブツが光沢苔癬(lichen nitidus)であった場合、そのような治療はまったく効果がなく、むしろ不要な負担を強いることになります。誤診による不適切な治療を避けるためにも、光沢苔癬と尖圭コンジローマの違いを正しく理解し、適切な診断を受けることが大切です。

光沢苔癬とは?:その特徴と誤解されやすい理由

光沢苔癬(Lichen Nitidus)とは、亀頭や陰茎に発生することがあるまれな良性の炎症性皮膚疾患です。この疾患は、見た目の特徴から性感染症(特に尖圭コンジローマ)と誤解されることが多く、不安を感じる患者も少なくありません。しかし、光沢苔癬は感染症ではなく、伝染の心配もないため、正しい理解が重要です。

臨床的には、微小で光沢のある扁平な丘疹(発疹)が多発するのが特徴で、色調は皮膚色から淡紅色、茶褐色までさまざまです。これらの丘疹は、直径12ミリメートル程度と小さく、滑らかな表面を持つ点が特徴的です。亀頭や陰茎に発生しやすいものの、上肢や胸部、腹部にも出現することがあります。

現在の医学的見解では、光沢苔癬は自然に沈静化するため、特別な治療を必要としないとされています。しかし、特に亀頭や陰茎に多発すると、見た目が尖圭コンジローマなどの性感染症と酷似しているため、患者が大きな精神的ストレスを感じることがあります。

実際、ある医学論文では、光沢苔癬の患者が他院で性感染症と誤診され、その結果として夫婦関係に深刻な影響を及ぼしたケースが報告されています(次項で紹介)。このような誤診による不必要な治療や精神的苦痛を避けるためにも、正しい診断と患者への適切なカウンセリングが極めて重要です。医師が光沢苔癬と尖圭コンジローマの違いを正しく理解し、患者に対して十分な説明を行うことが、安心感を与えるうえで不可欠といえるでしょう。

性病と誤診された光沢苔癬の臨床例:正しい診断の重要性

ここでは、医学論文誌に掲載された光沢苔癬の症例を紹介し、誤診がもたらす影響と正しい診断の重要性について考えます。

症例概要

40歳の男性が、1年前から陰茎に小さな皮膚色の丘疹(発疹)が出現しました。かゆみや痛みは一切なく、当初は特に気にしていなかったものの、この2ヵ月間で病変が徐々に増加。そのため、心配になり医療機関を受診しました。

診察した医師は、ウイルス感染による病変と判断し、抗ウイルス軟膏を1ヵ月間処方しました。しかし、塗布を続けてもほとんど改善が見られず、症状の進行が続きました。この患者には、発症前に明確な誘因はなく、リスクの高い性行為の既往もなければ、基礎疾患も存在しませんでした。

正しい診断への道のり

皮膚科での再評価では、陰茎部に光沢のある12mm大の多角形丘疹が多数分布しており、これらは合体せずに孤立した状態で存在していました(図A)。

亀頭の光沢苔癬

そこで、診断を確定するために皮膚生検を実施し、病理組織学的検査(詳細後述)を行った結果、光沢苔癬と診断されました。

その後、患者にはタクロリムス軟膏(免疫抑制剤)と保湿剤を局所的に使用する治療が開始されました。すると、時間の経過とともに症状は徐々に改善し、1年後には皮膚病変が顕著に減少していました(図C)。

亀頭の光沢苔癬1年後

誤診によるリスクと適切な対応

この症例は、性感染症と誤診されたことで不適切な治療が行われた一例です。光沢苔癬は尖圭コンジローマと外見が似ているため、安易に性病と診断されることがあります。しかし、誤診による無駄な治療は患者に不要な不安を与え、時には人間関係にも悪影響を及ぼすことがあります。そのため、適切な診断のもと、正しい治療を行うことが極めて重要です。

参照元:A CASE REPORT of Lichen Nitidus on the Penis: Tiny but Annoying Eruptions

光沢苔癬は性病ではない:正しい知識で不安を解消しよう

光沢苔癬(Lichen Nitidus)は、その外見が尖圭コンジローマなどの性感染症と類似しているため、性病と誤解されることが少なくありません。しかし、光沢苔癬は決して性感染症ではなく、他者に感染する心配のない良性の皮膚疾患です。そのため、過度な不安を抱く必要はありません。

この疾患の正確な原因は未だ解明されていませんが、一部の研究では遺伝的要因の関与が示唆されています。また、光沢苔癬は以下の疾患と関連があることが報告されており、免疫系の異常が発症に関与している可能性が考えられています。

  • 扁平苔癬(Lichen Planus
  • クローン病(Crohn病)
  • アトピー性皮膚炎
  • ダウン症
  • HIV感染症

光沢苔癬の発症メカニズムについては、未知の抗原(免疫を刺激する因子)が細胞性免疫を活性化し、それが皮膚病変の形成につながるのではないかと推測されています。つまり、性感染症のようにウイルスや細菌が原因ではなく、自己免疫や炎症反応が関与している可能性が高いのです。

このように、光沢苔癬は性病とはまったく異なる病態であり、感染リスクはゼロです。正しい知識を持つことで、過度な心配をせずに適切な対応を取ることができるでしょう。

光沢苔癬の症状:特徴的な発疹と好発部位

光沢苔癬(Lichen Nitidus)は、小さく滑らかで光沢のある丘疹(発疹)が多発する皮膚疾患です。これらの丘疹は通常、肌色から淡紅色、または茶色を呈し、直径1~2ミリメートル程度と非常に小さいのが特徴です。表面が光沢を帯びているため、光の加減によっては目立って見えることがあります。

この疾患は基本的に無症状ですが、まれに軽度のかゆみや違和感を伴うことがあります。ただし、痛みを伴うことはほとんどなく、放置しても自然に消退するケースが多いとされています。

光沢苔癬が発生しやすい部位

光沢苔癬は、体の特定の部位に好発することが知られています。特に多く見られるのは以下の部位です。

  • 亀頭・陰茎シャフト(ペニスのサオ)
  • 前腕の屈側(内側)
  • 手の甲
  • 胸部
  • 腹部
  • 臀部(お尻)

また、まれに以下の部位にも病変が発生することがあります。

  • 口腔粘膜やその他の粘膜
  • 手のひらや足の裏
  • 爪(点状陥凹や縦の隆起が生じることもある)

光沢苔癬は一般的に自然に消退する傾向があるため、特別な治療を必要としないことが多いですが、見た目が気になる場合や症状が悪化した場合には、適切なスキンケアや医師の診察を受けることが推奨されます。

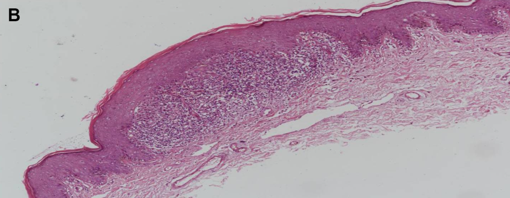
 光沢苔癬の病理組織像:診断の鍵となる特徴的所見

光沢苔癬の確定診断には、皮膚生検による病理組織学的検査が必要です。組織学的には、この疾患に特有の「ボール・イン・クランチ(ball-in-clutch)」と呼ばれる特徴的なパターンが観察されます。この名称は、鉤爪でボールを包み込むような構造に由来し、顕微鏡下での独特な組織像を指します。

この構造は、上層真皮に限局した細胞浸潤を特徴とし、以下のような細胞成分から構成されています。

  • 類上皮細胞(炎症性変化を示す)
  • リンパ球(免疫反応に関与)
  • マクロファージ(異物を除去する免疫細胞)
  • ランゲルハンス巨細胞(抗原提示に関与する細胞)

また、表皮の菲薄化(ひはくか:皮膚が薄くなること)が認められ、角化異常(パラケラトーシス)や基底細胞の変性が伴うこともあります。

このような病理組織像は、扁平苔癬などの類似疾患と鑑別するうえで非常に有用です。

光沢苔癬の病理組織像

↑光沢苔癬の病理組織像:「ball-in-clutch」の特徴的な特徴が認められ、炎症性浸潤はリンパ球からなる 

光沢苔癬の診断:臨床所見と類似疾患との鑑別ポイント

光沢苔癬の診断は、主に臨床所見(視診)に基づいて行われます。典型的な症例では、小さく光沢のある肌色~淡紅色の丘疹が亀頭や陰茎に多発し、合体することなく孤立しているのが特徴です。通常、無症状または軽度のかゆみを伴うのみで、痛みや潰瘍化は見られません。

しかし、非典型的なケースや、尖圭コンジローマなどの性感染症と区別がつきにくい場合には、皮膚生検を実施して確定診断を行うことがあります。生検による病理組織学的検査では、「ボール・イン・クランチ(ball-in-clutch)」と呼ばれる特徴的な所見が確認され、他の疾患との鑑別が可能になります。

光沢苔癬と類似疾患の鑑別診断

光沢苔癬と間違われやすい皮膚疾患には、以下のようなものがあります。

■尖圭コンジローマ(性病の一種)

原因:ヒトパピローマウイルス(HPV)感染

特徴:カリフラワー状の隆起性病変、増殖傾向がある

■亀頭真珠様小丘疹(正常な生理的変化)

原因:生理的な変化(病気ではない)

特徴:亀頭の冠状溝に沿って整列した小さな丘疹

■フォアダイス(皮脂腺の一種)

原因:皮脂腺が表皮に近い位置にあることによるもの(病気ではない)

特徴:黄色~白色の小さな隆起、主に陰茎や口唇に見られる

■ヘルペス(単純ヘルペスウイルス感染)

原因:単純ヘルペスウイルス(HSV-1またはHSV-2

特徴:水疱やびらんを伴い、痛みや灼熱感がある

光沢苔癬の課題:診断の難しさと精神的影響

光沢苔癬は、まれな慢性炎症性疾患であり、その病因は未だ明確には解明されていません。この疾患の典型的な皮膚病変は、光沢のある扁平な頂部を持つ、皮膚色のピンヘッド大の丘疹で、主に胸部、腹部、生殖器、上肢に多発するのが特徴です。

通常、光沢苔癬は痛みやかゆみを伴わず、明らかな身体的な不快症状を引き起こすことはありません。しかし、特に男性性器に発生した場合、精神的な負担が大きく、患者の心理的健康に深刻な影響を与える可能性があります。

誤診が生む精神的ストレス

光沢苔癬は、経験の浅い皮膚科医によって、陰茎真珠様小丘疹や尖圭コンジローマなどと誤診されることが少なくありません。これにより、患者は誤った診断を受け、不必要な治療や不安を抱えることになります。

多くの患者が性感染症と誤診され、不要なレーザー治療や抗ウイルス薬の外用を経験するケースが報告されています。これは精神的なストレスを増加させるだけでなく、時間的・経済的負担にもつながります。

光沢苔癬は治療が必要?適切な対応と自然治癒の可能性

光沢苔癬は基本的に自然に消失する疾患であり、ほとんどの症例では特別な治療を行わなくても数ヶ月から1年以内に消退すると報告されています。そのため、症状が軽度であれば、経過観察のみで十分と考えられています。

しかし、症状が長引いたり、かゆみ(そう痒症)を伴う場合には、適切なスキンケアや外用薬の使用が推奨されます。特に、陰茎や亀頭に病変が多発している場合は、見た目の問題から患者の精神的ストレスにつながることがあり、心理的負担を軽減するための対応も重要です。

光沢苔癬の治療選択肢

症状の程度に応じて、以下のような治療法が考えられます。

■軽症の場合
 
治療は不要で、経過観察のみで十分。定期的な診察を受けながら、自然消退を待つのが一般的。

■かゆみや炎症がある場合
ステロイド外用薬(グルココルチコイド)が有効。短期間の使用であれば安全だが、長期使用は副作用のリスクを考慮する必要がある。

■長期間の治療が必要な場合
免疫抑制剤(タクロリムス等)の外用が推奨される。ステロイドの長期使用による皮膚萎縮などの副作用を避けることができるため、安全性が高い。

■全身に病変が広がっている場合
光線療法(ナローバンドUVBPUVA療法)が適応となることがある。特に難治性の症例では、紫外線療法が有効な選択肢となる。

光沢苔癬治療の相談はこちら

光沢苔癬の予後:再発の可能性は?

光沢苔癬の予後は極めて良好で、ほとんどの症例で数ヶ月から1年以内に自然に消失します。再発はまれであり、合併症を伴うこともほとんどありません。

ただし、陰茎や亀頭に病変が発生した場合、見た目の問題や性感染症との誤診により、患者が過度なストレスを抱えることがあります。そのため、正しい診断を受け、不必要な治療を避けることが重要です。

光沢苔癬は深刻な疾患ではありませんが、誤った診断によって患者が不安を抱えたり、不適切な治療を受けるケースが少なくありません。医師がこの疾患の特性を正しく理解し、患者に適切な説明を行うことで、無用な心配を避けることができるでしょう。

今後、光沢苔癬に関する認知度が高まり、正確な診断と適切な対応が普及することで、患者の不安が軽減されることが期待されます。

リパスGの第一人者:元神賢太

まとめ

光沢苔癬は、まれではあるものの、良性で自己限定性の皮膚疾患です。その発症メカニズムは完全には解明されていませんが、免疫系の関与が示唆されており、感染症ではないことが分かっています。多くの症例では、特別な治療を必要とせず、時間の経過とともに自然に消退します。治療が行われる場合でも、主に症状の緩和を目的とした対症療法が中心です。

光沢苔癬は性感染症(STD)ではなく、感染のリスクも一切ありません。しかし、尖圭コンジローマなどの性感染症と外見が似ているため、誤診されるケースが少なくありません。このため、不必要な治療を受けたり、誤った診断により精神的なストレスを抱えてしまう患者も多いのが現状です。

誤診を防ぎ、無用な不安を避けるためには、光沢苔癬と性感染症の違いを正しく理解し、冷静に対応することが大切です。陰茎や亀頭にブツブツができると、誰しもパニックに陥る可能性があります。しかし、そのようなときこそ、専門医による正しい診断を受けることが不可欠です。

本記事が、光沢苔癬に対する理解を深め、不安を軽減する一助となれば幸いです。誤った診断による不要な治療や不安を避けるためにも、適切な知識を持ち、正しい判断を心がけましょう。

 

筆者:元神 賢太
青山セレスクリニック/船橋中央クリニック院長/医療法人社団セレス理事長。1999年慶応義塾大学医学部卒。外科専門医(日本外科学会認定)。美容外科専門医(日本美容外科学会認定)。美容外科医師会理事。美容外科医・包茎治療・ペニス治療として20年以上のキャリアがある。リパス、リパスGの命名者であり、日本の第一人者。男性向けの性講座Youtube「元神チャンネル」は好評を博している。また、男性更年期障害(LOH症候群)の改善をライフワークとしている。

※リパス、リパスGは医療法人社団セレスの商標登録です。

【関連項目】

光沢苔癬の相談はこちら

 

ブログTOPに戻る

医師紹介

私にお任せ下さい。
院長紹介

医師紹介

私にお任せ下さい。

20年以上ペニス治療に従事して参りました私が施術からからアフターケアまで
一貫して行いますので、ご安心してください。

理事長:元神 賢太
経歴・資格
  • 平成11年3月 慶應義塾大学医学部卒
  • 平成11年4月 慶應義塾大学病院勤務
  • 平成15年12月 船橋中央クリニック院長
  • 平成25年1月 青山セレスクリニック 治療責任者
当院では20年以上の経験がある元神医師が
カウンセリングからアフターケアまで
一貫してすべての診療を行います。

当院では元神賢太医師のみが、診療を行っております。
経験の浅いアルバイト医師が手術を行うことは絶対にありません。
「すべての方にご満足いただける医療を提供する」をポリシーに、長年患者様の診療を行っております。
こちらから治療を強要することはございませんので、安心してご相談ください。

【クリニックのご案内】
クリニックは青山院(東京)、船橋院(千葉)、福岡院(福岡)、大阪院(大阪)、札幌院(北海道)があり、いずれも元神医師が診療しております。

東京エリアで治療をご希望の方はこちら

青山セレスクリニックmap

〒107-0061
東京都港区北青山2-7-26
ランドワーク青山ビル7F
(旧ヒューリック外苑前ビル)
責任者:高林洋一
最終学歴:S43年慶応義塾大学医学部卒業
勤務歴:H28年青山セレスクリニック管理者

千葉エリアで治療をご希望の方はこちら

船橋中央クリニックmap

〒273-0005
千葉県船橋市本町6-4-15
グラン大誠ビル 2F
責任者:元神賢太
最終学歴:H11年慶応義塾大学医学部卒業
勤務歴:H15年船橋中央クリニック開業

西日本でクリニックをお探しの方はこちら

西日本でお探しの方はこちら

船橋中央クリニック福岡エリア
(提携先 セイコメディカルビューティークリニック福岡院)

所在地

〒810-0001
福岡県福岡市中央区天神2丁目5−17 プラッツ天神 2階
(提携先 セイコメディカルビューティークリニック福岡院)

予約受付・ご相談窓口

フリーダイヤル

0120-118-243

船橋中央クリニック大阪エリア
(提携先  )

所在地

〒530-0001
大阪市北区梅田1-2-2 大阪駅前第2ビル2F
(提携先  )

予約受付・ご相談窓口

フリーダイヤル

0120-118-243

北海道でクリニックをお探しの方はこちら

北海道でお探しの方はこちら

船橋中央クリニック北海道エリア
(提携先 琴似タワー皮膚科形成外科)

所在地

〒063-0812
札幌市西区琴似2条1丁目1-20 琴似タワープラザ2階
(提携先 琴似タワー皮膚科形成外科)

予約受付・ご相談窓口

フリーダイヤル

0120-118-243

クリニックは青山院(東京)、船橋院(千葉)、福岡院(福岡)、大阪院(大阪)、札幌院(北海道)があり、いずれも元神医師が診療しております。

フリーダイヤル フリーダイヤル相談/予約

受付時間:9:30~18:00 年中無休
(12/31~1/3を除く)

希望される
クリニックを選択して下さい。

いずれも元神医師が診察しています。